爱必信(上海)生物科技有限公司
欢迎联系我们! 服务热线: 021-38015121
 
 
联系我们
  • 手机:13761418683
    电话:021-38015121
    联系人:Absin
    邮箱:zhouzz@univ-bio.com
    网址:http://www.absin.cn/
    地   址:上海市浦东新区新浩路58号18号楼
公司动态

爱必信多色文献解读:糖尿病治疗新靶点——SDF-1

2022-01-28

2021年11月,南开大学人民医院内分泌的林静娜老师、李春君老师课题组在Journal of Cellular and Molecular Medicine杂志上,在线发表了一篇题为“SDF-1 inhibits the dedifferentiation of islet β cells in hyperglycaemia by up-regulating FoxO1 via binding to CXCR4”(应用了abs50012——四色多重荧光免疫组化染色试剂盒),文章主要研究了基质细胞衍生因子-1(SDF-1)对胰岛β细胞去分化的影响,这也为糖尿病的治疗提供了一个新靶点。
糖尿病的发生与胰岛素(Insulin)水平低密切相关,胰岛素是由胰岛β细胞分泌而来的机体内唯一可以降低血糖的激素,当机体患有糖尿病时,胰岛β细胞会发生去分化,即变回前体状态,进而失去分泌胰岛素的能力。本文主要是研究SDF-1对胰岛β细胞去分化的影响,文献中记载SDF-1可以调节免疫细胞的分化和功能,并且1、2型糖尿病都和它有关系,随后研究团队设计进行了一系列实验。
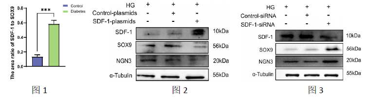
前期研究中,研究团队主要应用荧光单双染和Western blot的实验方法,首先确认了胰岛去分化的标志物(SOX9和NGN3),随后与SDF-1双染,结果显示二者荧光图像高度重叠(图1),证明SDF-1确实和胰岛β细胞去分化有关。后面WB结果则显示SDF-1的表达升高会抑制胰岛β细胞的去分化(图2),而抑制SDF-1的表达反而导致去分化的加剧(图3)。 。  


确定了SDF-1确实会影响胰岛β细胞去分化以后,研究团队在STRING数据库中查找发现SDF-1 和FOXO1存在相互作用,于是他们开始进一步探索SDF-1是否是通过SDF-1/CXCR4/AKT/FOXO1通路产生影响。通过WB检测,糖尿病患者与小鼠样本中的FOXO1含量明显低于正常样本。随后又检测了当SDF-1表达降低或升高时,Min6细胞(去分化细胞模型)中CXCR4、AKT、FOXO1含量的变化,表达降低时,SDF-1的受体CXCR4含量反而升高,p-AKT和FOXO1含量则降低(图4),当表达增加时,三种蛋白表达水平都升高(图5),由此可见SDF-1 通过上调FOXO1的表达,进而抑制胰岛β细胞的去分化。  


为了进一步研究SDF-1和其受体CXCR4形成的复合物是否会产生效应,研究团队采用多重荧光免疫组化技术分别对人和小鼠的胰岛素(Insulin,用于标记胰岛范围)、SDF-1和CXCR4三个指标进行多染,结果显示,虽然SDF-1在糖尿病胰岛和非糖尿病胰岛之间的表达有显著性差异,但CXCR4的表达却并无显著性差异,同样的现象表现在WB结果中(图6)  


研究团队在之前的研究中发现与非糖尿病小鼠相比,糖尿病小鼠胰岛中DPP-IV的表达增强,那么DPP-IV可能能够作用于SDF-1,使得SDF-1不能再激活CXCR4。于是研究团队用不同浓度的DPP-IV持续处理Min6细胞48小时,结果显示,SDF-1和CXCR4的表达并未受影响,但FOXO1的表达确实降低了,再分别对其他去分化相关指标进行WB检测,SOX9和NGN3的表达上调,p-AKT和FOXO1的表达下调,而SDF-1和CXCR4的表达没有明显变化。为了进一步研究SDF-1和CXCR4之间的关系,研究团队进行了CO-IP实验,结果显示DPP-IV干预后,二者的结合量减少了(图7)。综上结果显示,DPP-IV并没有改变SDF-1和CXCR4的整体表达 ,而是通过减少了它们之间的结合量,进而影响下游的p-AKT和 FOXO1通路,减少了它们的表达,最终导致胰岛β细胞去分化增加。之后又进行葡萄糖干预实验,再次验证了SDF-1和CXCR4的结合可以增加FOXO1的表达。  


结语: 本次研究表明,高血糖机体较之正常机体,SDF-1与其受体CXCR4的结合量有所减少,随后AKT的磷酸化也减少,最终使得能够降低胰岛β细胞去分化的FOXO1的表达量减少(图8),研究结果也为糖尿病的治疗提供了新的靶点。  


文末小彩蛋

Absin多重荧光免疫组化试剂盒能够实现单片多标,无论是看肿瘤微环境还是看免疫浸润,无论是进行细胞计数还是共定位分析,我们都可以实现,目前最高可做到六指标七色哦

货号 名称 规格
abs50012 四色多重荧光免疫组化染色试剂盒(鼠兔通用二抗) 20T/100T

 

Absin免疫组化试剂盒推荐

货号 名称 规格
abs50012 四色多重荧光免疫组化染色试剂盒(鼠兔通用二抗) 20T/100T
abs50013 五色多重荧光免疫组化染色试剂盒(鼠兔通用二抗) 20T/100T
abs50014 六色多重荧光免疫组化染色试剂盒(鼠兔通用二抗) 20T/100T
abs50015 七色多重荧光免疫组化染色试剂盒(鼠兔通用二抗) 20T/100T
abs50028 四色多重荧光免疫组化染色试剂盒(抗兔二抗) 20T/100T
abs50029 五色多重荧光免疫组化染色试剂盒(抗兔二抗) 20T/100T
abs50030 六色多重荧光免疫组化染色试剂盒(抗兔二抗) 20T/100T
abs50031 七色多重荧光免疫组化染色试剂盒(抗兔二抗) 20T/100T
abs50032 多重荧光免疫组化染色试剂盒(组合系列) 100T


没有设备?没时间做?巧了,我们还提供全套服务!感兴趣的老师可以在我们公众号后台留言哦~

联系方式
手机:13761418683