
植物血凝素(Phytohemagglutinin,PHA),多指来源于Phaseolus Vulgaris菜豆属(红腰豆)的凝集素,常用作人淋巴细胞的促有丝分裂原(mitogen),具有促进有丝分裂和诱导干扰素分泌的活性。
基本介绍:
植物血凝素属于高分子糖蛋白,是低聚糖(由半乳糖,N-乙酰葡糖胺和甘露糖所构成)和蛋白质形成的复合物。由4个亚基通过非共价键结合形成的四聚体糖蛋白,包含两种亚基分子,L亚基(白细胞凝集素)和E(红细胞凝集素),因此含有5种异构体(L4, L3E1, L2E2, L1E3和E4)。L亚基具有白细胞凝集和高促有丝分裂活性,E亚基具有高红细胞凝集和低促有丝分裂活性。
应用背景:
植物血凝素(PHA),用作从全血中分离培养白细胞的的培养物,研究发现PHA是有丝分裂活性的一个特定的启动者:在PHA的存在下,细胞分裂发生;,在无核分裂时,不会出现核分裂。研究表明,植物血凝素的有丝分裂作用并不影响有丝分裂本身,而是反应在有丝分裂之前的阶段——循环中的单核细胞和大淋巴细胞转变为能够分裂的状态,故广泛用于免疫学实验当中。

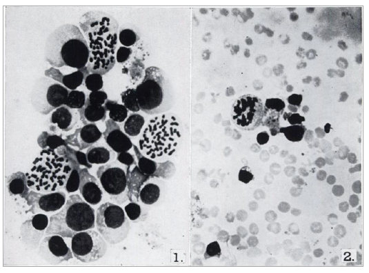
左图是植物血凝素的正常人类白细胞
(图片来自于文献Phytohemagglutinin: an initiator of mitosis in cultures of normal human leukocytes)
产品应用:
PHA-L(Phytohemagglutinin-L),是4个L亚基通过非共价键连接形成的四聚体,经色谱纯化所得。PHA-L是白细胞凝集素,具有高促有丝分裂和白细胞凝集活性,但红细胞凝集活性极低。广泛用于免疫学研究,比如用作PBMC的刺激物;用作INF-γ ICS、ELISPOT实验的阳性对照;或用作顺行性神经示踪剂
产品属性:
1. CAS NO:9008-97-3
2. 应用:非特异性有丝分裂原
3.-20°C保存,有效期2年。
absin植物血凝素为无菌的PHA-L溶液,浓度为1.25mg/ml(500×),适用于人和小鼠淋巴细胞的体外活化研究。
| 货号 | 名称 | 规格 |
| abs47014910 | 植物血凝素-L 溶液(500×) | 100ul |
|
Absin特色产品线(全部现货):
|